產品簡介
本產品用于從動物組織、細胞提取總RNA。獨特的裂解液迅速裂解樣本并滅活RNA酶,裂解產物通過gDNA過濾柱有效地去除雜質和gDNA,濾液中的RNA經過乙醇調節上柱條件,高效地結合到RNA吸附柱,經過漂洗和洗脫,得到的總RNA純度高,gDNA殘留少,無蛋白和其他雜質污染,可用于RT-PCR、Real-Time PCR、芯片分析等多種下游實驗。
產品特點
1. 綠色無毒:避免使用有毒的苯酚、氯仿等試劑。
2. 操作簡捷:提取步驟少,可在10min內完成單個樣品RNA的提取。
3. 基因組殘留少:獨特的gDNA過濾柱可以有效地去除雜質和gDNA,無需DNase柱上消化。
操作對比

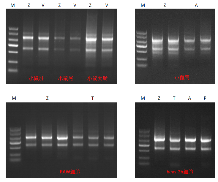
實驗案例
1. 提取得率參考
樣本 | 提取量 | RNA得率 |
小鼠肝臟 | 10mg | 14μg |
小鼠尾 | 20mg | 4.5μg |
小鼠大腸 | 30mg | 25μg |
小鼠心臟 | 10mg | 3μg |
小鼠腦 | 10mg | 3μg |
比目魚肝臟 | 50mg | 43μg |
beas-2b細胞 | 3×106 | 16.3μg |
RAW細胞 | 3×106 | 16.5μg |
293T細胞 | 1×106 | 12.5μg |
2. 產品對比

使用各產品對不同組織、細胞樣本提取的RNA進行瓊脂糖凝膠電泳檢測。M表示DL2000,Z表示ZP441,T表示Trizol,V、A、P表示其它同類產品??梢钥吹剑琙P441提取效果≥其它同類產品。