■ 產品簡介
本產品采用獨特配方,可快速高效轉膜,濕轉法(Tank blot)或半干轉法(Semi-dry blot)都可以使用。對于200kd以下的蛋白轉印,可以使用乙醇代替甲醇。
■ 產品特點
快 速 高 效:分子量100kD以下蛋白只需轉膜30-40分鐘,發熱量更低。
兼 容 性 好:能兼容Laemmli膠,預制膠,Bis-Tris膠等多種凝膠。
轉移效率高:大、小蛋白可同時轉移。
發 熱 量 低:與傳統轉膜液相比,發熱量更低,可以無需冰浴操作。
兩種轉膜緩沖液特點對比:
| ZS401
| ZS401B
|
操作
| 完全一樣
|
離子成分
| 少
| 多
|
最大電流
| 200mA
| 可達400mA
|
時間
| 2-4小時
| 30-90min
|
不同大小蛋白 對應轉移時間 | 100kd—2h
| 100kd—30min
|
200kd—3h
| 200kd—60min
|
300kd—4h
| 300kd—90min
|

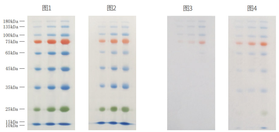
| 圖1
| 圖2
|
| 圖3
| 圖4
|
介質
| NC膜
| 介質
| 10%丙烯酰胺凝膠
|
產品
| ZS401B(快速) | ZS401(普通) | 產品
| ZS401B(快速)
| ZS401(普通)
|
轉膜條件
| 400mA 20分鐘 | 200mA 20分鐘 | 轉膜條件
| 400mA 20分鐘 | 200mA 20分鐘 |
轉移到NC膜上Marker | 多
| 少
| 凝膠中 marker殘留 | 少
| 多
|